Дом / Что такое дентальный имплантат All-On-4?

Что такое дентальный имплантат All-On-4?

Мы проводим дентальную имплантацию в Турции от начала до конца: вам не нужно никуда ехать, чтобы провести имплантацию! Стоимость наших услуг ниже, чем при двухэтапной имплантации.

Пять-десять лет назад большинство пациентов не знали о существовании несъемных мостовидных протезов All on 4 с полной зубной дугой. Сегодня пациенты часто обращаются именно за этим видом лечения, но всегда ли это в их интересах?

 

Хотя эти факторы необходимо учитывать и для пациентов с полной адентией, в данной статье я рассмотрю только случаи пациентов, у которых сохранилась большая часть зубов и которые рассматривают возможность их удаления для имплантации.

 

Преимущества дентальной имплантации ALL ON 4:

 

Быстрое улучшение качества жизни: несъемный полный протез улучшает функцию, эстетику, чувствительность, речь и самооценку.

 

Более короткие сроки лечения: наклон задних имплантатов позволяет избежать необходимости в трудоемкой процедуре костной пластики, а немедленная нагрузка сокращает время прорезывания зубов.

 

Низкие затраты: метод имплантации зубов ALL ON 4 — это экономичный вариант для тех, кто страдает от неплотно прилегающих зубных протезов, разрушения зубов или их полного отсутствия. ALL ON 4 — наименее затратный вариант по сравнению с традиционными стоматологическими процедурами.

 

Восстановите свою улыбку с помощью несъемного и постоянного решения 🌟

 

Если у вас отсутствует большая часть или все зубы, система имплантации зубов All-on 4 предлагает постоянную и естественно выглядящую замену. В Анталье, Турция, вы можете получить лечение мирового класса по цене, значительно ниже, чем в западных странах, — и при этом наслаждаться солнцем, морем и богатой культурой.

Что такое дентальные имплантаты All-On-4?

All-On-4 — это метод лечения, при котором все зубы на беззубой челюсти фиксируются с помощью четырех дентальных имплантатов. В отличие от традиционных имплантатов, этот метод поддерживает все зубы на челюсти, используя только четыре имплантата. Он предлагает более быстрое решение по сравнению с другими методами дентальной имплантации, и установка временных зубов обычно может быть начата в течение одного дня.

Кому подходит метод All-On-4?

Лечение All-On-4 подходит для людей, потерявших зубы, но имеющих достаточный объем костной ткани челюсти и хорошее общее состояние здоровья. Идеальными кандидатами являются пациенты, у которых отсутствуют зубы, но костная ткань не подверглась сильной атрофии. Этот метод также рекомендуется людям, желающим улучшить свою улыбку и иметь более функциональные зубы.

Сколько времени занимает лечение All-On-4?

Продолжительность лечения All-On-4 зависит от структуры челюсти и общего состояния здоровья пациента. После установки имплантатов временные зубы могут быть зафиксированы в течение одного дня. Однако для полного срастания имплантатов с костью требуется период заживления около 3-6 месяцев. После завершения этого процесса устанавливаются постоянные зубы.

Являются ли дентальные имплантаты All-On-4 постоянными?

Да, дентальные имплантаты All-On-4 являются долговременным и постоянным решением. После того как имплантаты срастаются с челюстной костью, они могут оставаться прочными и функциональными в течение многих лет. При правильном уходе и регулярных визитах к стоматологу имплантаты могут прослужить пожизненно.

 

Больно ли проходит лечение All-On-4?

Во время процедуры All-On-4 обычно не ощущается боли, так как применяется местная анестезия. Однако после установки имплантатов может наблюдаться небольшая боль, отек или дискомфорт в течение нескольких дней. Эти ощущения обычно контролируются обезболивающими препаратами и проходят в короткий срок.

Будет ли трудно есть после лечения All-On-4?

После установки временных зубов могут возникнуть некоторые трудности при жевании. Однако после установки постоянных зубов вы сможете есть так же, как и с натуральными зубами. В первые дни после лечения рекомендуется употреблять мягкую пищу.

Выглядят ли зубы All-On-4 естественно?

Да, зубные конструкции, используемые в методе All-On-4, изготавливаются с учетом индивидуальных эстетических параметров, таких как цвет, форма и размер зубов. Благодаря этому имплантаты выглядят естественно и незаметны со стороны.

Какие осложнения могут возникнуть при лечении All-On-4?

Хотя осложнения встречаются редко, возможны:
Инфекция
Отсутствие срастания имплантата с костью
Воспаление, кровоточивость десен
Потеря костной ткани

Однако эти риски можно свести к минимуму, если регулярно посещать стоматолога и соблюдать рекомендации по уходу.

 

Сколько стоит лечение All-On-4?

Стоимость лечения All-On-4 варьируется в зависимости от:
Материалов
 Клиники и региона
Сложности лечения

Этот метод может быть экономичнее традиционных имплантов, так как требует установки всего четырех имплантатов вместо каждого отдельного зуба. Однако точную стоимость определяют индивидуально.

Достаточно ли моего объема костной ткани для All-On-4?

Костная ткань должна быть достаточно прочной и объемной для успешного лечения. Если кость недостаточно плотная, шансы на успешную имплантацию снижаются. В таких случаях может потребоваться костная пластика для укрепления челюсти.

 

Могут ли зубы All-On-4 прослужить всю жизнь?

Да, импланты All-On-4 могут прослужить много лет при правильном уходе. Однако со временем зубные конструкции могут изнашиваться. Чтобы продлить их срок службы, необходимо регулярно чистить зубы, использовать зубную нить и посещать стоматолога.

Как ухаживать за зубами после All-On-4?

All-On-4 требует такого же ухода, как и натуральные зубы:
Чистить зубы 2 раза в день
Использовать зубную нить
Регулярно посещать стоматолога
Поддерживать здоровье десен

Может ли произойти потеря костной ткани при All-On-4?

Метод All-On-4 помогает предотвратить атрофию костной ткани, так как имплантаты стимулируют кость. Однако, если костная ткань уже ослаблена, может потребоваться предварительная костная пластика перед имплантацией.

 

Каков процент успешности лечения All-On-4?

Процент успешности All-On-4 составляет более 95%.
При хорошей диагностике и выполнении процедуры квалифицированным специалистом импланты успешно приживаются и служат долгие годы.

Покрывает ли страховка лечение All-On-4?

Большинство стандартных страховок не покрывают дентальные имплантаты. Однако некоторые частные страховые компании могут частично покрывать расходы. Рекомендуется уточнить детали у вашей страховой компании.

Получите бесплатное предложение прямо сейчас!

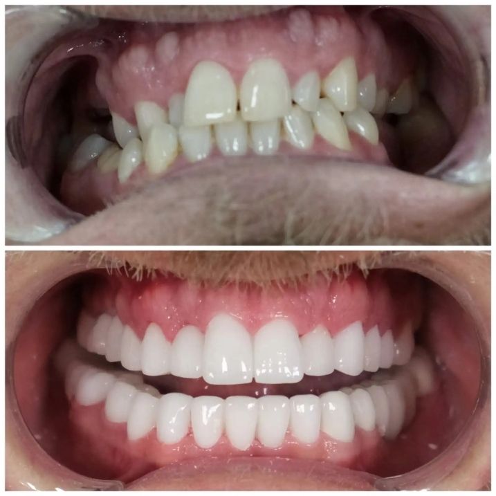
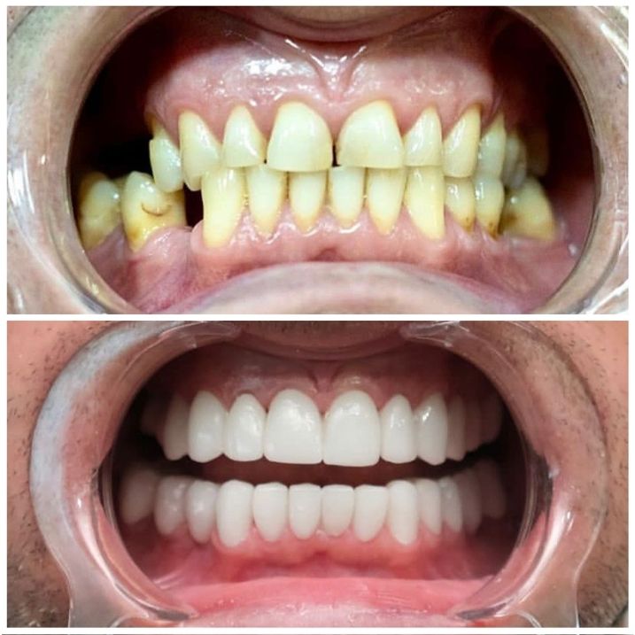
До После

Наша страсть — дарить нашим пациентам лучшую улыбку.

БЕСПЛАТНАЯ КОНСУЛЬТАЦИЯ

Получите доступное и надежное стоматологическое лечение

Доктор Альпаслан Бурак Зорлу — опытный стоматолог нашей стоматологической клиники в Анталии. Он окончил магистратуру по имплантологии полости рта и челюстно-лицевой хирургии в Международном медицинском колледже в Мюнстере, Германия. Мы готовы разработать для вас индивидуальный план лечения. Запишитесь на бесплатную консультацию прямо сейчас в стоматологическую клинику Center Dental Clinic Antalya.

> Контакт
Footer Logo

Получите бесплатное предложение прямо сейчас!

Fill out the form below and our dental experts will contact you within 24 hours to discuss your treatment options.

© 2025 Center Dental Clinic Все права защищены
Мы вам позвоним
WHATSAPP
×
Center Dental Clinic
Онлайн
Center Dental Clinic

Здравствуйте, чем мы можем вам помочь?

23:20
WhatsApp Чат